Primary Antibodies
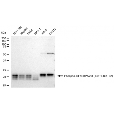
KD-Validated Phospho-eIF4EBP1/2/3 (T46+T46+T32) Rabbit mAb (20 μl)
Reactivity: Human, Mouse, Rat Applications: WB, IF/IC, FCM, WB-KD Isotype: IgG Clone: 23GB3850 Host Species: Rabbit Clonality: Monoclonal Synonyms: EIF4EBP1/2/3; Eukaryotic Translation Initiation Factor 4E Binding Protein 1/2/3; PHA..
KD-Validated Phospho-PRAS40 (T246) Rabbit mAb (20 μl)
Reactivity: Human, Mouse, Rat Applications: WB, IF/IC, FCM, WB-KD Isotype: IgG Clone: 23GB3855 Host Species: Rabbit Clonality: Monoclonal Synonyms: AKT1S1; AKT1 Substrate 1; PRAS40; 40 KDa Proline-Rich AKT Substrate; Proline-Rich AK..
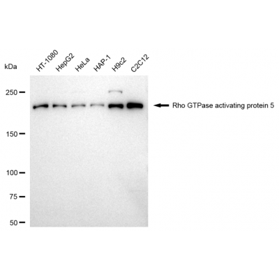
KD-Validated ARHGAP5 Rabbit mAb (20 μl)
Reactivity: Human, Mouse, Rat Applications: WB, IF/IC, FCM, WB-KD Isotype: IgG Clone: 23GB3860 Host Species: Rabbit Clonality: Monoclonal Synonyms: ARHGAP5; Rho GTPase Activating Protein 5; P190-B; Rho-Type GTPase-Activating Protein..
KD-Validated Phospho-BCAR1 (Y410) Rabbit mAb (20 μl)
Reactivity: Human, Mouse, Rat Applications: WB, FCM, WB-KD Isotype: IgG Clone: 23GB3870 Host Species: Rabbit Clonality: Monoclonal Synonyms: BCAR1; BCAR1 Scaffold Protein, Cas Family Member; CASS1; CAS; Cas Scaffolding Protein Famil..
KD-Validated Atg16L1 Rabbit mAb (20 μl)
Reactivity: Human, Mouse, Rat Applications: WB, IF/IC, FCM, WB-KD Isotype: IgG Clone: 23GB665 Host Species: Rabbit Clonality: Monoclonal Synonyms: Autophagy Related 16 Like 1; ATG16A; APG16L; WDR30; Autophagy-Related Protein 16-1; F..
KD-Validated Phospho-EGFR (Y1173) Rabbit mAb (20 μl)
Reactivity: Human, Rat Applications: WB, FCM, WB-KD Isotype: IgG Clone: 23GB3900 Host Species: Rabbit Clonality: Monoclonal Synonyms: EGFR; Epidermal Growth Factor Receptor; ERBB1; ERRP; ERBB; Receptor Tyrosine-Protein Kinase ErbB-1..
KD-Validated Phospho-eIF4B (S406) Rabbit mAb (20 μl)
Reactivity: Human, Mouse, Rat Applications: WB, FCM, WB-KD Isotype: IgG Clone: 23GB3905 Host Species: Rabbit Clonality: Monoclonal Synonyms: EIF4B; Eukaryotic Translation Initiation Factor 4B; EIF-4B; PRO1843Immunogen: A synthetic p..
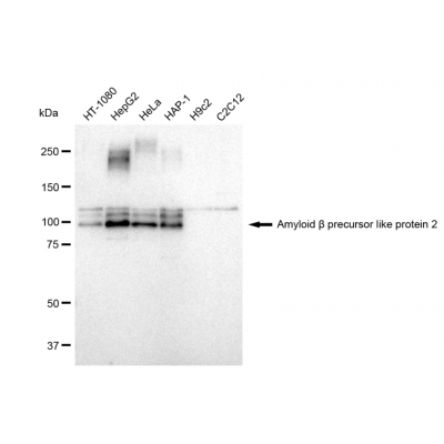
KD-Validated APLP2 Rabbit mAb (20 μl)
Reactivity: Human Applications: WB, IF/IC, FCM, WB-KD Isotype: IgG Clone: 23GB1595 Host Species: Rabbit Clonality: Monoclonal Synonyms: APLP2; Amyloid Beta Precursor Like Protein 2; APPH 2; Amyloid Beta (A4) Precursor-Like Protein 2..
























