Primary Antibodies
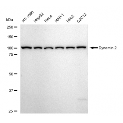
KD-Validated DNM2 Rabbit mAb (20 μl)
Reactivity: Human, Mouse, Rat Applications: WB, WB-KD Isotype: IgG Clone: 23GB5170 Host Species: Rabbit Clonality: Monoclonal Synonyms: DNM2; Dynamin 2; DYN2; DI-CMTB; CMTDIB; CMTDI1; DYNII; CMT2M; Dynamin II; EC 3.6.5.5; Dynamin-2;..
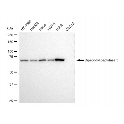
KD-Validated DPP3 Rabbit mAb (20 μl)
Reactivity: Human, Rat Applications: WB, FCM, WB-KD Isotype: IgG Clone: 23GB5190 Host Species: Rabbit Clonality: Monoclonal Synonyms: DPP3; Dipeptidyl Peptidase 3; Enkephalinase B; Dipeptidyl Aminopeptidase III; Dipeptidyl Arylamida..
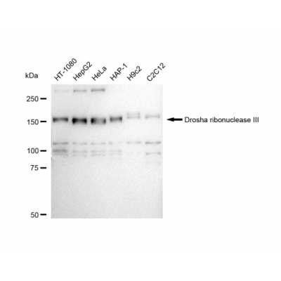
KD-Validated DROSHA Rabbit mAb (20 μl)
Reactivity: Human, Mouse, Rat Applications: WB, FCM, WB-KD Isotype: IgG Clone: 23GB5205 Host Species: Rabbit Clonality: Monoclonal Synonyms: DROSHA; Drosha Ribonuclease III; RNASE3L; RN3; HSA242976; RNASEN; Drosha, Double-Stranded R..
KD-Validated DSC1 Rabbit mAb (20 μl)
Reactivity: Human, Mouse, Rat Applications: WB, WB-KD Isotype: IgG Clone: 23GB5210 Host Species: Rabbit Clonality: Monoclonal Synonyms: DSC1; Desmocollin 1; CDHF1; Desmosomal Glycoprotein 2/3; Cadherin Family Member 1; Desmocollin-1..
KD-Validated DSG2 Rabbit mAb (20 μl)
Reactivity: Human Applications: WB, FCM, WB-KD Isotype: IgG Clone: 23GB5215 Host Species: Rabbit Clonality: Monoclonal Synonyms: DSG2; Desmoglein 2; CDHF5; Cadherin Family Member 5; Desmoglein-2; HDGCImmunogen: A synthesized peptide..
KD-Validated DSP Rabbit mAb (20 μl)
Reactivity: Human Applications: WB, FCM, WB-KD Isotype: IgG Clone: 23GB5220 Host Species: Rabbit Clonality: Monoclonal Synonyms: DSP; Desmoplakin; 250/210 KDa Paraneoplastic Pemphigus Antigen; KPPS2; PPKS2; DPII; DPI; DP; Desmoplaki..
KD-Validated DTYMK Rabbit mAb (20 μl)
Reactivity: Human Applications: WB, FCM, WB-KD Isotype: IgG Clone: 23GB5235 Host Species: Rabbit Clonality: Monoclonal Synonyms: DTYMK; Deoxythymidylate Kinase; CDC8; TYMK; TMPK; DTMP Kinase ; Deoxythymidylate Kinase (Thymidylate Ki..
KD-Validated DUT Rabbit mAb (20 μl)
Reactivity: Human Applications: WB, FCM, WB-KD Isotype: IgG Clone: 23GB5240 Host Species: Rabbit Clonality: Monoclonal Synonyms: DUT; Deoxyuridine Triphosphatase; DUTP Pyrophosphatase; DUTPase; Deoxyuridine 5'-Triphosphate Nucleotid..























