KD-Validated MAPKAPK2 Rabbit mAb (20 μl)

KD-Validated MAPKAPK2 Rabbit mAb (20 μl)

Catalog #: 61485
Availability: In Stock
$139.00
Reactivity: Human, Mouse, Rat    
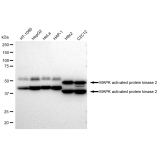
Applications: WB, IF/IC, FCM, WB-KD    
Isotype: IgG    
Clone: 23GB2950    
Host Species: Rabbit    
Clonality: Monoclonal    
Synonyms: MAPKAPK2; MAPK Activated Protein Kinase 2; MK2; Mitogen-Activated Protein Kinase-Activated Protein Kinase 2; MAP Kinase-Activated Protein Kinase 2; MAPKAP Kinase 2; EC 2.7.11.1; MAPKAP-K2; MK-2; MAPK-Activated Protein Kinase 2; MAPKAPK-2; EC 2.7.11
Immunogen: A synthesized peptide derived from human MAPKAP Kinase 2
Dilution: WB 1:1,000-1:5,000; IF/IC 1:1,000; FCM 1:2,000 ; WB-KD 1:1,000-1:5,000
Uniprot: P49137
NCBI Gene ID: 9261
MW: 46 kDa
Purification Source: Cell culture
Purification Method: Affinity Purified
Buffer: Liquid in BSA, PH 7.4, 50% glycerol and less than 0.02% sodium azide.
Storage: Store at -20°C. Avoid repeated freeze/thaw cycles.
Documents: Please contact us to request the manual