Sidebar
| Reactivity: | Human, Mouse, Rat |
| Applications: | WB, FCM, WB-KD |
| Isotype: | IgG |
| Clone: | 23GB3600 |
| Host Species: | Rabbit |
| Clonality: | Monoclonal |
| Synonyms: | CDK2; Cyclin Dependent Kinase 2; Cell Division Protein Kinase 2; Cyclin-Dependent Kinase 2; P33 Protein Kinase; EC 2.7.11.22; CDKN2; Cdc2-Related Protein Kinase; P33(CDK2); EC 2.7.11 |
| Immunogen: | A synthetic peptide of human CDK2 |
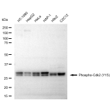
| Dilution: | WB 1:1,000-1:5,000; FCM 1:2,000 ;WB-KD 1:1,000-1:5,000 |
| Uniprot: | P24941 |
| NCBI Gene ID: | 1017 |
| MW: | 34 kDa |
| Purification Source: | Cell culture |
| Purification Method: | Affinity Purified |
| Buffer: | Liquid in BSA, PH 7.4, 50% glycerol and less than 0.02% sodium azide. |
| Storage: | Store at -20°C. Avoid repeated freeze/thaw cycles. |
| Documents: | Please contact us to request the manual |
