KD-Validated EIF4A1 Rabbit mAb (20 μl)

KD-Validated EIF4A1 Rabbit mAb (20 μl)

Catalog #: 61628
Availability: In Stock
$139.00
Reactivity: Human, Mouse, Rat    
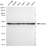
Applications: WB, IFCM, WB-KD    
Isotype: IgG    
Clone: 23GB3835    
Host Species: Rabbit    
Clonality: Monoclonal    
Synonyms: EIF4A1; Eukaryotic Translation Initiation Factor 4A1; DDX2A; EIF-4A; EIF4A; ATP-Dependent RNA Helicase EIF4A-1; Eukaryotic Initiation Factor 4A-I; EIF-4A-I; EIF4A-I; Eukaryotic Translation Initiation Factor 4A, Isoform 1; Eukaryotic Translation Initiation Factor 4A; Eukaryotic Initiation Factor 4A; EC 3.6.4.13; EC 3.6.1
Immunogen: A synthetic peptide of human eIF4A1
Dilution: WB 1:1,000-1:5,000; FCM 1:2,000 ; WB-KD 1:1,000-1:5,000
Uniprot: P60842
NCBI Gene ID: 1973
MW: 46 kDa
Purification Source: Cell culture
Purification Method: Affinity Purified
Buffer: Liquid in BSA, PH 7.4, 50% glycerol and less than 0.02% sodium azide.
Storage: Store at -20°C. Avoid repeated freeze/thaw cycles.
Documents: Please contact us to request the manual