Sidebar
| Reactivity: | Human, Mouse, Rat |
| Applications: | WB, IF/IC, FCM, WB-KD |
| Isotype: | IgG |
| Clone: | 23GB4190 |
| Host Species: | Rabbit |
| Clonality: | Monoclonal |
| Synonyms: | STAT1; Signal Transducer And Activator Of Transcription 1; Transcription Factor ISGF-3 Components P91/P84; STAT91; ISGF-3; Signal Transducer And Activator Of Transcription 1-Alpha/Beta; Signal Transducer And Activator Of Transcription 1, 91kDa; Signal Transducer And Activator Of Transcription 1, 91kD; CANDF7; IMD31A; IMD31B; IMD31C |
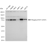
| Immunogen: | A synthesized peptide derived from human Phospho-STAT1 (S727) |
| Dilution: | WB 1:1,000-1:5,000; IF/IC 1:1,000; FCM 1:2,000 ; WB-KD 1:1,000-1:5,000 |
| Uniprot: | P42224 |
| NCBI Gene ID: | 6772 |
| MW: | 87 kDa |
| Purification Source: | Cell culture |
| Purification Method: | Affinity Purified |
| Buffer: | Liquid in BSA, PH 7.4, 50% glycerol and less than 0.02% sodium azide. |
| Storage: | Store at -20°C. Avoid repeated freeze/thaw cycles. |
| Documents: | Please contact us to request the manual |
