KD-Validated CST3 Rabbit mAb (20 μl)

KD-Validated CST3 Rabbit mAb (20 μl)

Catalog #: 61773
Availability: In Stock
$139.00
Reactivity: Human, Mouse    
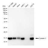
Applications: WB, IF/IC, WB-KD    
Isotype: IgG    
Clone: 23GB1845    
Host Species: Rabbit    
Clonality: Monoclonal    
Synonyms: CST3; Cystatin C; Neuroendocrine Basic Polypeptide; Post-Gamma-Globulin; Gamma-Trace; Cystatin-C; Cystatin C (Amyloid Angiopathy And Cerebral Hemorrhage); Epididymis Secretory Protein Li; BA218C14.4 (Cystatin C); Cystatin 3; Cystatin-3; HEL-S-2 3; ARMD11
Immunogen: A synthesized peptide derived from human Cystatin C
Dilution: WB 1:1,000-1:5,000; IF/IC 1:1,000; WB-KD 1:1,000-1:5,000
Uniprot: P01034
NCBI Gene ID: 1471
MW: 14 kDa
Purification Source: Cell culture
Purification Method: Affinity Purified
Buffer: Liquid in BSA, PH 7.4, 50% glycerol and less than 0.02% sodium azide.
Storage: Store at -20°C. Avoid repeated freeze/thaw cycles.
Documents: Please contact us to request the manual