Sidebar
| Reactivity: | Human, Mouse, Rat |
| Applications: | WB, IF/IC, FCM, WB-KD |
| Isotype: | IgG |
| Clone: | 23GB2130 |
| Host Species: | Rabbit |
| Clonality: | Monoclonal |
| Synonyms: | LGALS3; Galectin 3; GALIG; Advanced Glycation End-Product Receptor 3; Lectin, Galactoside-Binding, Soluble, 3; Carbohydrate-Binding Protein 35; Galactose-Specific Lectin 3; Laminin-Binding Protein; IgE-Binding Protein; 35 KDa Lectin; Lectin L-29; Galectin-3; LGALS2; MAC-2; GALBP; MAC2; Epididymis Secretory Sperm Binding Protein; Galactoside-Binding Protein; MAC-2 Antigen; Mac-2; Antigen; CBP 35; CBP35; Gal-3; GAL3; L-31; L31 |
| Immunogen: | A synthesized peptide derived from human Galectin 3 |
| Dilution: | WB 1:1,000-1:5,000; IF/IC 1:1,000; FCM 1:2,000 ; WB-KD 1:1,000-1:5,000 |
| Uniprot: | P17931 |
| NCBI Gene ID: | 3958 |
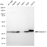
| MW: | 30 kDa |
| Purification Source: | Cell culture |
| Purification Method: | Affinity Purified |
| Buffer: | Liquid in BSA, PH 7.4, 50% glycerol and less than 0.02% sodium azide. |
| Storage: | Store at -20°C. Avoid repeated freeze/thaw cycles. |
| Documents: | Please contact us to request the manual |
