KD-Validated EIF2AK4 Rabbit mAb (20 μl)

KD-Validated EIF2AK4 Rabbit mAb (20 μl)

Catalog #: 61956
Availability: In Stock
$139.00
Reactivity: Human, Rat    
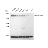
Applications: WB, FCM, WB-KD    
Isotype: IgG    
Clone: 23GB5295    
Host Species: Rabbit    
Clonality: Monoclonal    
Synonyms: EIF2AK4; Eukaryotic Translation Initiation Factor 2 Alpha Kinase 4; GCN2; KIAA1338; EIF-2-Alpha Kinase GCN2; GCN2-Like Protein; Eukaryotic Translation Initiation Factor 2-Alpha Kinase 4; General Control Nonderepressible; GCN2 EIF2alpha Kinase; EIF-2-Alpha Kinase; EC 2.7.11.1; PVOD2
Immunogen: A synthesized peptide derived from human GCN2
Dilution: WB 1:1,000-1:5,000; FCM 1:2,000 ; WB-KD 1:1,000-1:5,000
Uniprot: Q9P2K8
NCBI Gene ID: 440275
MW: 187 kDa
Purification Source: Cell culture
Purification Method: Affinity Purified
Buffer: Liquid in BSA, PH 7.4, 50% glycerol and less than 0.02% sodium azide.
Storage: Store at -20°C. Avoid repeated freeze/thaw cycles.
Documents: Please contact us to request the manual