Sidebar
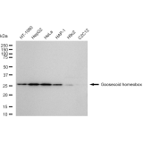
| Reactivity: | Human, Mouse, Rat |
| Applications: | WB, WB-KD |
| Isotype: | IgG |
| Clone: | 23GB6470 |
| Host Species: | Rabbit |
| Clonality: | Monoclonal |
| Synonyms: | GSC; Goosecoid Homeobox; Homeobox Protein Goosecoid; GSC1; SAMS |
| Immunogen: | A synthesized peptide derived from human GSC |
| Dilution: | WB 1:1,000-1:5,000; WB-KD 1:1,000-1:5,000 |
| Uniprot: | P56915 |
| NCBI Gene ID: | 145258 |
| MW: | 28 kDa |
| Purification Source: | Cell culture |
| Purification Method: | Affinity Purified |
| Buffer: | Liquid in BSA, PH 7.4, 50% glycerol and less than 0.02% sodium azide. |
| Storage: | Store at -20°C. Avoid repeated freeze/thaw cycles. |
| Documents: | Please contact us to request the manual |
