KD-Validated GRSF1 Rabbit mAb (20 μl)

KD-Validated GRSF1 Rabbit mAb (20 μl)

Catalog #: 63672
Availability: In Stock
$139.00
Reactivity: Human    
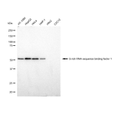
Applications: WB, IF/IC, FCM, WB-KD    
Isotype: IgG    
Clone: 23GB1890    
Host Species: Rabbit    
Clonality: Monoclonal    
Synonyms: GRSF1; G-Rich RNA Sequence Binding Factor 1; G-Rich Sequence Factor 1; GRSF-1
Immunogen: A synthesized peptide derived from human GRSF1
Dilution: WB 1:1,000-1:5,000; IF/IC 1:1,000; FCM 1:2,000 ; WB-KD 1:1,000-1:5,000
Uniprot: Q12849
NCBI Gene ID: 2926
MW: 53 kDa
Purification Source: Cell culture
Purification Method: Affinity Purified
Buffer: Liquid in BSA, PH 7.4, 50% glycerol and less than 0.02% sodium azide.
Storage: Store at -20°C. Avoid repeated freeze/thaw cycles.
Documents: Please contact us to request the manual