KD-Validated PCAF Rabbit mAb (20 μl)

KD-Validated PCAF Rabbit mAb (20 μl)

Catalog #: 64121
Availability: In Stock
$139.00
Reactivity: Human    
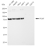
Applications: WB, IF/IC, FCM, WB-KD    
Isotype: IgG    
Clone: 23GB910    
Host Species: Rabbit    
Clonality: Monoclonal    
Synonyms: Lysine Acetyltransferase 2B; P/CAF; P300/CBP-Associated Factor; PCAF; Spermidine Acetyltransferase KAT2B; Histone Acetyltransferase KAT2B; K(Lysine) Acetyltransferase 2B; Histone Acetyltransferase PCAF; Histone Acetylase PCAF; EC 2.3.1.48; GCN5L; GCN5; CREBBP-Associated Factor; EC 2.3.1.57; CAF
Immunogen: A synthetic peptide of human PCAF
Dilution: WB 1:1,000-1:5,000; IF/IC 1:1,000; FCM 1:2,000 ; WB-KD 1:1,000-1:5,000
Uniprot: Q92831
NCBI Gene ID: 8850
MW: 93 kDa
Purification Source: Cell culture
Purification Method: Affinity Purified
Buffer: Liquid in BSA, PH 7.4, 50% glycerol and less than 0.02% sodium azide.
Storage: Store at -20°C. Avoid repeated freeze/thaw cycles.
Documents: Please contact us to request the manual