KD-Validated CD29 Rabbit mAb (20 μl)

KD-Validated CD29 Rabbit mAb (20 μl)

Catalog #: 65731
Availability: In Stock
$139.00
Reactivity: Human    
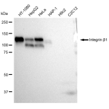
Applications: WB, IF/IC, WB-KD    
Isotype: IgG    
Clone: 23GB890    
Host Species: Rabbit    
Clonality: Monoclonal    
Synonyms: GPIIA; MSK12; CD29; FNRB; MDF2; Integrin, Beta 1 (Fibronectin Receptor, Beta Polypeptide, Antigen CD29 Includes MDF2, MSK12); Glycoprotein IIa; Integrin Beta-1; Very Late Activation Protein, Beta Polypeptide; Fibronectin Receptor Subunit Beta; Integrin VLA-4 Beta Subunit; VLA-4 Subunit Beta; Integrin Beta 1; CD29 Antigen; VLA-BETA; VLAB
Immunogen: A synthetic peptide of human Integrin beta 1
Dilution: WB 1:1,000-1:5,000; IF/IC 1:1,000; WB-KD 1:1,000-1:5,000
Uniprot: P05556
NCBI Gene ID: 3688
MW: 88 kDa
Purification Source: Cell culture
Purification Method: Affinity Purified
Buffer: Liquid in BSA, PH 7.4, 50% glycerol and less than 0.02% sodium azide.
Storage: Store at -20°C. Avoid repeated freeze/thaw cycles.
Documents: Please contact us to request the manual