Sidebar
| Reactivity: | Human, Mouse, Rat |
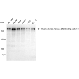
| Applications: | WB, IF/IC, FCM, WB-KD |
| Isotype: | IgG |
| Clone: | 23GB1380 |
| Host Species: | Rabbit |
| Clonality: | Monoclonal |
| Synonyms: | Chromodomain Helicase DNA Binding Protein 3; ZFH; Chromodomain-Helicase-DNA-Binding Protein 3; Mi-2 Autoantigen 240 KDa Protein; ATP-Dependent Helicase CHD3; Zinc Finger Helicase; Mi2-ALPHA; Mi-2a; CHD-3; HZFH; Zinc-Finger Helicase (Snf2-Like); EC 3.6.4.12; MI2-ALPHA; Mi2-Alpha; EC 3.6.1; SNIBCPS; MI-2A |
| Immunogen: | A synthesized peptide derived from human CHD3 |
| Dilution: | WB 1:1,000-1:5,000; IF/IC 1:1,000; FCM 1:2,000 ; WB-KD 1:1,000-1:5,000 |
| Uniprot: | Q12873 |
| NCBI Gene ID: | 1107 |
| MW: | 260 kDa |
| Purification Source: | Cell culture |
| Purification Method: | Affinity Purified |
| Buffer: | Liquid in BSA, PH 7.4, 50% glycerol and less than 0.02% sodium azide. |
| Storage: | Store at -20°C. Avoid repeated freeze/thaw cycles. |
| Documents: | Please contact us to request the manual |
