Sidebar
| Reactivity: | Human, Mouse, Rat |
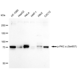
| Applications: | WB, IF/IC, FCM, WB-KD |
| Isotype: | IgG |
| Clone: | 23GB1055 |
| Host Species: | Rabbit |
| Clonality: | Monoclonal |
| Synonyms: | Protein Kinase C; Alpha; EC 2.7.11.13;PKCA1; AAG6; PKC-A; Aging-Associated Gene 6; PKC-alpha; Protein Kinase C Alpha Type; PRKACA; EC 2.7.11 |
| Immunogen: | A synthetic phosphopeptide corresponding to residues surrounding Ser657 of human PKC alpha |
| Dilution: | WB 1:1,000-1:5,000; IF/IC 1:1,000; FCM 1:2,000 ; WB-KD 1:1,000-1:5,000 |
| Uniprot: | P17252 |
| NCBI Gene ID: | 5578 |
| MW: | 80 kDa |
| Purification Source: | Cell culture |
| Purification Method: | Affinity Purified |
| Buffer: | Liquid in BSA, PH 7.4, 50% glycerol and less than 0.02% sodium azide. |
| Storage: | Store at -20°C. Avoid repeated freeze/thaw cycles. |
| Documents: | Please contact us to request the manual |
