Sidebar
| Reactivity: | Human, Mouse, Rat |
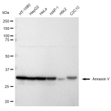
| Applications: | WB, IF/IC, FCM, WB-KD |
| Isotype: | IgG |
| Clone: | 23GB650 |
| Host Species: | Rabbit |
| Clonality: | Monoclonal |
| Synonyms: | Annexin A5; CPB-I; PAP-I; Placental Anticoagulant Protein I; Vascular Anticoagulant-Alpha; Calphobindin I; Endonexin II; Annexin V; VAC-Alph; RPRGL3; ANX5; ENX2; Placental Anticoagulant Protein 4; Thromboplastin Inhibitor; Anchorin CII; Lipocortin V; VAC-Alpha; Annexin-5; PP4; Epididymis Secretory Protein Li 7; HEL-S-7; CBP-I |
| Immunogen: | A synthetic peptide of human Annexin V |
| Dilution: | WB 1:2,000-1:10,000; IF/IC 1:1,000; FCM 1:2,000 ; WB-KD 1:2,000-1:10,000 |
| Uniprot: | P08758 |
| NCBI Gene ID: | 308 |
| MW: | 30 kDa |
| Purification Source: | Cell culture |
| Purification Method: | Affinity Purified |
| Buffer: | Liquid in BSA, PH 7.4, 50% glycerol and less than 0.02% sodium azide. |
| Storage: | Store at -20°C. Avoid repeated freeze/thaw cycles. |
| Documents: | Please contact us to request the manual |
