LIFE SCB
Login
Quick Order

My cart

0 item(s) - $0.00
  • Your shopping cart is empty!

  • Products
    • MOLECULAR BIOLOGY PRODUCTS
      • PCR, qPCR & RT-qPCRHot
      • Reverse Transcription
      • Cloning & Mutagenesis
      • Nucleic Acid Electrophoresis
      • Nucleic Acid PurificationHot
      • Nucleic Acid QuantitationHot
      • NGS Library Preparation
    • PLASMIDS, CLONES & VIRUS
      • cDNA Clones
      • ORF Clones
      • Premade LentivirusHot
      • Premade AAVs
      • Premade Adenovirus
    • CELL BIOLOGY PRODUCTS
      • Cell TransfectionHot
      • Cell Culture
      • Cell Apoptosis
      • Cell Proliferation
      • Cell Viability
      • Cell Cycle & Structure
      • Cell Fluorescence
    • ANTIBODIES & ELISA KITS
      • KO/KD-Validated Antibodies
      • Flow Cytometry Antibodies
      • Secondary Antibodies
      • ELISA KitsHot
    • KITS & SMALL INSTRUMENTS
      • LiDirect™ Genotyping KitHot
      • LiQuant™ dsDNA Assay KitHot
      • LiFluor™ Bacterial Viability Kit
      • Lentiviral Packaging Kit
      • Cell-Tissue Lysis Kit
      • S16 Nucleic Acid Extractor
      • Portable Mass Spectrometer
  • Services
    • GENE SYNTHESIS
      • Gene SynthesisHot
      • Site-directed Mutagenesis
      • PCR Cloning & Subcloning
      • Plasmid DNA Preparation
    • RNA SYNTHESIS
      • siRNA SynthesisHot
      • sgRNA Synthesis
      • mRNA Synthesis
      • RNA Modifications
    • VIRUS PACKAGING
      • Lentivirus PackagingHot
      • AAV Packaging
      • Adenovirus Packaging
    • NGS
      • DNA-Seq
      • RNA-Seq
    • PROTEIN EXPRESSION
      • Bacterial Protein Expression
      • Yeast Protein Expression
      • Mammalian Protein Expression
  • Research
    • APPLICATIONS
      • Molecular Biology
      • Synthetic Biology
      • Cell Biology
      • Immunology
      • Proteomics
      • Microbiology
    • PRODUCTS
      • Molecular Biology Products
      • Plasmids & Clones
      • Cell Biology Products
      • Premade Virus
      • Antibodies
      • ELISA Kits
    • DISEASES
      • Cancer
      • Neuroscience
      • Cardiovascular
      • Respiratory Diseases
      • Metabolic Diseases
    • THERAPIES
      • Gene Therapy
      • Cell Therapy
      • Immunotherapy
    • EXPERIEMTS
      • Electrophoresis
      • Gene Editing
      • Western Blot
      • Biofluorescence
  • Resources
    • ORDER
      • Order Guide
      • Distributors
      • Quick Order
    • DOWNLOAD
      • Quote Forms
      • Brochures/Flyers
      • Manuals
    • CERTIFICATE
      • Publications
      • Customer Testimonials
    • OTHER
      • SiteMap
      • Rewards Program
      • Promotions
    • lifesct promotion
  • About Us
  • Home
  • Applications
  • Automated Nucleic Acid Extraction

Categories

  • Molecular Biology
    •    - PCR, qPCR & RT-qPCR
    •    - Reverse Transcription
    •    - Cloning & Mutagenesis
    •    - Nucleic Acid Detection
    •    - Nucleic Acid Purification
    •    - Next Generation Sequencing
    •    - Gene Therapy
  • Synthetic Biology
    •    - Gene Synthesis
    •    - RNA Synthesis
    •    - Oligo Synthesis
    •    - Peptide Synthesis
  • Cell Biology
    •    - Cell Transfection & Culture
    •    - Cell Apoptosis
    •    - Cell Proliferation & Viability
    •    - Cell Cycle & Cell Structure
    •    - Cell Therapy
  • Immunology
    •    - Immunoassay
    •    - Immunotherapy
  • Proteomics
    •    - Western Blot
    •    - Protein Detection
    •    - Protein Expression
  • Microbiology
    •    - Bacteria
    •    - Virus

Automated Nucleic Acid Extraction

Automated Nucleic Acid Extraction

nucleic acid extractorTGuide S16 Nucleic Acid Extractor can process up to 16 samples simultaneously by the magnetic rods to bind and transfer the magnetic beads, the 96-well plate or single-sample reagent cartridge and magnetic tip comb. By using the corresponding nucleic acid extraction reagents, this product can automatically purify DNA/RNA from various samples of animal, plant, bacteria, fungi, etc., and extract DNA from plasmid, agarose gel and PCR product.
 

Key Features

• Time saving and highly efficient: It can greatly reduce the hands-on operation of nucleic acid experiments, and significantly improve the laboratory work efficiency.

• Tailored for research use: Although compact in size, it provides automated solutions for most sample types of scientists' interests.

• Out-of-the-box automation: It is super easy to use, with prefilled supporting reagent cartridges and preinstalled programs. Overall, the instrument requires little effort on installation, training and maintenance.

• Competent and reliable: The upgraded techniques assure you the reproducible extraction of ultrapure DNA/RNA.
 

  Product Name Cat. # Price View
  TGuide S16 Automated Nucleic Acid Extractor OSE-S16 $13,500


Applications

TGuide S16 Nucleic Acid Extractor is an affordable choice for academic or small labs to automate nucleic acid extraction from agarose gel, PCR product, plant and animal tissue, etc.
 

  Product Name Cat. # Price View
  TGuide Smart Universal DNA Kit (48 preps) GDP605-DE $219
  TGuide Smart Magnetic Plant DNA Kit (48 preps) GDP607-DE $269
  TGuide Smart Soil/Stool DNA Kit (48 preps) GDP613-D-E7 $369
  TGuide Smart Blood/Cell/Tissue RNA Kit (48 preps) GDP661-DE $389
  TGuide Smart Magnetic Plant RNA Kit (48 preps) GDP662-DE $429
  TGuide Smart Viral DNA/RNA Kit (48 preps) GDP604-DE $369
  TGuide Smart Mini Plasmid Kit (48 preps) GDP641-DE $119
  TGuide Smart Endofree Mini+ Plasmid Kit 1 (48 preps) GDP641-D-E1 $149


Case Study

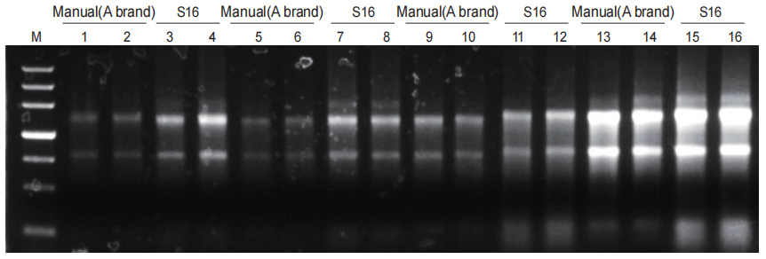
Gel recovery experiment (2 Kb) (Left) The recovery rate is consistent and slightly higher than that of the manual column extraction kit.
Plant (wheat root) DNA extraction (Right) The yield is consistent, and the DNA integrity is better than of the manual column extraction kit.

 

Animal tissue RNA extraction
Loading volume: 1 μl. The liver was diluted 5 times and loaded. Agarose gel concentration: 1%. Electrophoresis for 20 min at 6 V/cm;
M: Marker III 1-4: heart 5-8: liver 9-12: lung 13-16: kidney;
The first two samples of each tissue were extracted by the spin-column based extraction kit, and the last two were extracted automatically by TGuide S16.
Sample source: CD-1 mice

 

Blood Total RNA Extraction
S16 Nucleic Acid Extractor was used to extract RNA from fresh whole blood of mice, and Agilent 2100 was used for intergrity detection, with RIN=10.

Why Choose Us?

  • Quality Guarantee
  • Quick Delivery
  • Expert Technical Support
  • Cost-effective

Contact Us

  • lifesct

Follow Us

  • follow life scb

Payment & Shipping

payment lifescb
© 2026 LIFE SCIENCE BIOTECHNOLOGY LLC. All Rights Reserved.
  • Contact Us
  • SiteMap
  • Terms & Conditions
  • Privacy Policy
Show More Show Less
© 2016-2026 LIFESCT-LIFE SCIENCE BIOTECHNOLOGY. All Rights Reserved.

Added to cart successfully. What is next?

Our website uses cookies to enhance user experience. Read our Privacy Policy to find out more.